血球・CRP迅速検査

「血球・CRP迅速検査」とは?
からだの炎症の程度や白血球・赤血球の数を調べ、「肺炎」にかかっていないか、入院が必要かどうか判断します。
何がわかる?
白血球やCRP(炎症で増えるたんぱく質)を調べることで、ウイルスや細菌に感染しているか、「肺炎」ではないか、炎症はどの程度かが分かります。また、貧血の程度も調べられます。
検査方法
血液検査で調べます。採血後約5分で結果を分かりやすく説明します。
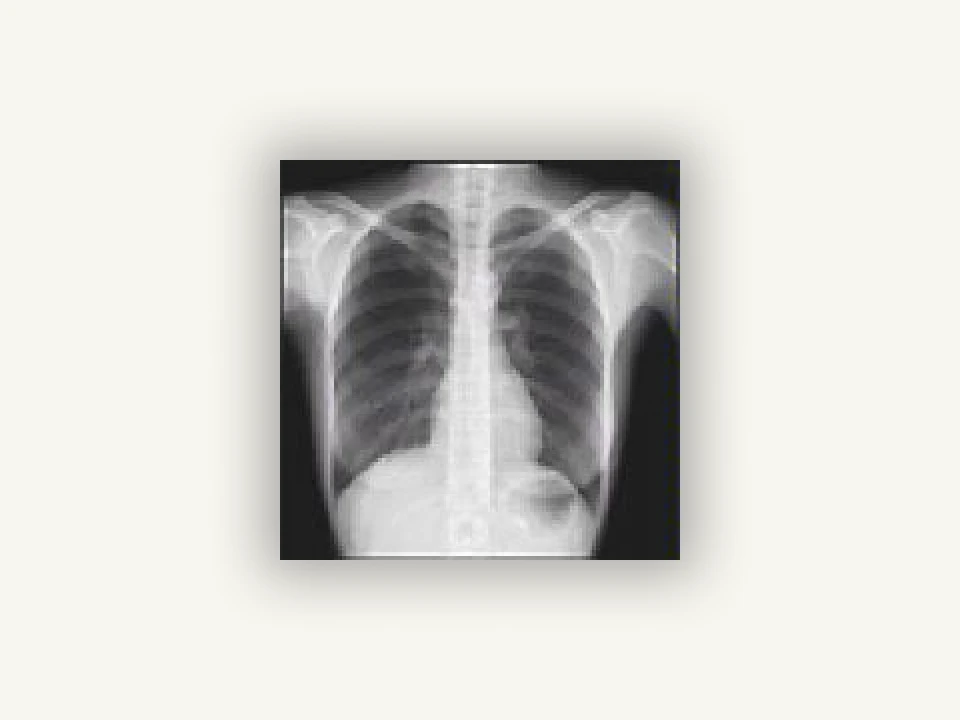
レントゲン

「レントゲン」とは?
エックス線は人体を通り抜けますが、骨などのように通りにくい所があるため、通り抜けたエックス線を写すと濃淡ができ体内の様子を知ることができます。肺や心臓、肺の間にある縦隔などの器官の病気について、様々な情報を得ることができますので、幅広く行なわれています。放射線の被曝があるため妊娠中のかたは検査をうけることができません。
何がわかる?
心臓や肺の病気の診断に有用です。心臓病など、心臓が拡大する病気が見つかるきっかけにもなります。また、心不全が悪くなり肺に水が貯まるのもわかります。また肺がん、肺結核、肺炎などでは、異常が白い影として映りますし、COPDなど肺の病気では黒い影として写るので、肺の病気の早期診断に有用です。
検査方法
エックス線専用の検査室で、撮影するだけです。最新式のデジタル解析を行いますので現像時間がなくすばやく結果が出、検査後すぐに分かりやすいく丁寧に説明をします。
肺機能検査(スパイロメーター)

「肺機能検査」とは?
肺の容積や空気を出し入れする呼吸機能を調べる検査です。肺活量や一気に息を吐いた時の空気の量などを測ることで、肺がどれだけ正常に働いているか診断します。
何がわかる?
ぜんそくやCOPDなど肺の病気が隠れていないか分かります。また、あなたの肺年齢も判定します。
検査方法
スパイロメーターという器械を使います。鼻をノーズクリップでとめ、マウスピースをくわえた後、息を大きく吸ったり、吐いたりして、呼吸量を調べます。痛みは全くなく、10分ほどで検査は終わります。